Вестон Прайс - Питание и физическая дегенерация. Почему у примитивных народов красивые и здоровые зубы, а у современного человека нет?
- Название:Питание и физическая дегенерация. Почему у примитивных народов красивые и здоровые зубы, а у современного человека нет?
- Автор:
- Жанр:
- Издательство:134 figures
- Год:1938
- ISBN:нет данных
- Рейтинг:
- Избранное:Добавить в избранное
-
Отзывы:
-
Ваша оценка:
Вестон Прайс - Питание и физическая дегенерация. Почему у примитивных народов красивые и здоровые зубы, а у современного человека нет? краткое содержание
«Питание и физическая дегенерация» — это бесценнейшая книга, которая меняет взгляд прочитавших ее людей на окружающий мир. Невозможно смотреть на привлекательные изображения так называемых «туземцев», видеть их широкоскулые лица с правильными и благородными чертами и не понимать, что в развитии современных детей наблюдаются серьезные проблемы.
В ходе своих путешествий Вестон Прайс посещал оторванные от внешнего мира деревни Швейцарии и открытые всем ветрам острова у шотландского побережья. Объектами его изучения стали живущие в традиционных для себя условиях эскимосы, индейские племена Канады и южной части Флориды, жители южно-тихоокеанского региона, австралийские аборигены, новозеландские маори, перуанские и амазонские индейцы, а также представители коренных африканских племен.
В каждом изолированном регионе, который посетил Прайс, он находил племена или деревни, где практически для каждого жителя было характерно подлинное физическое совершенство. Зубы у этих людей болели редко, а проблемы слишком близко посаженных и кривых зубов — те самые проблемы, которые позволяют американским ортодонтам покупать себе яхты и дорогие дома на курортах, — полностью отсутствовали. Прайс снимал и снимал на фотокамеру эти белозубые улыбки, при этом отмечая, что местные жители неизменно отличались бодростью и оптимизмом. Эти люди отличались «прекрасным физическим развитием» и практически полным отсутствием болезней даже в тех случаях, когда им приходилось жить в крайне тяжелых условиях.
Многие специалисты в области диетологии, которые последовали по стопам Прайса, считают эту книгу настоящим шедевром. Тем не менее этот кладезь мудрости наших предков до сих пор практически неизвестен современным врачам и родителям, хотя с первого издания книги прошло уже более 60 лет.
Ваш стоматолог точно не захочет, чтобы вы прочитали эту книгу. И не только ваш стоматолог, но и владельцы пищевых и фармацевтических корпораций, маркетологи, врачи и даже ваше правительство, которым выгодно, чтобы вы были постоянно болеющими невеждами.
Питание и физическая дегенерация. Почему у примитивных народов красивые и здоровые зубы, а у современного человека нет? - читать онлайн бесплатно ознакомительный отрывок
Интервал:
Закладка:

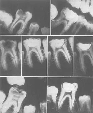
Рис. 97. Три случая иллюстрируют, как Природа может защитить пульпу, построив защитную стенку внутри углубления пульпы, после улучшения питания.
Питание детей, чьи зубы показаны на рис 97 было крайне скудным. Этих детей привели в наш центр, где мы давали им усиленное питание раз в день в полдень, шесть дней в неделю. Домашняя еда не менялась, также не менялся уход за зубами. Предварительный осмотр детей заключался в снимке всех зубов, химическом анализе слюны, тщательном изучении расположения, размера и глубины всех дыр в зубах. Также были записаны рост и вес детей, данные по оценкам в школе, включая оценки за поведение.
Эти данные замерялись каждые четыре-шесть недель на протяжении от трех до пяти месяцев. Важно отметить, что домашняя пища, которая вызвала разрушение зубов, была крайне бедна по содержанию витаминов и минералов и могла только временно утолять чувство голода. Обычно домашнее питание состояло из крепкого сладкого кофе с белым хлебом, растительных жиров, оладьев из белой муки с сиропом и пончиков, жареных на растительном масле.
То питание, которое давали детям мы раз в день, состояло из следующих продуктов: примерно четыре унции томатного или апельсинового сока и чайная ложка смеси из масла печени трески и сливочного масла, с высоким содержанием витаминов до начала еды. Далее им давали тарелку с овощами и тушеным мясом, включая костный мозг и вырезку: мясо обычно жарили отдельно, чтобы сохранить его сок, затем мелко резали и добавляли в мясной суп из костного мозга, который также содержал много резаных овощей и ярко-желтую морковь. Следующим блюдом они получали запеченные фрукты с очень маленьким количеством сахара и ролы из цельнозерновой муки свежего помола, намазанные маслом с высоким содержанием витаминов. Мука для этих ролов специально мололась каждый день на электрической кофемолке.
Каждый ребенок получал дополнительно два стакана цельного молока. Меню обновлялось ежедневно, чередуя тушеное мясо, рыбную похлебку и субпродукты. Проведенные анализы показывали, что каждый прием пищи обеспечивал детям примерно 1,48 гр кальция, 1,28 гр фосфора. Учитывая, что дети часто съедали две порции, потребление этих витаминов было гораздо выше. В предыдущей главе я указывал, что приемлемый уровень потребляемых витаминов составляет 0,68 гр кальция и 1,32 гр фосфора. Становится ясно, что одно усиленное питание плюс два другие приема пищи дома обеспечивают реальную защиту организму. Клинически подтвердилось, что такая программа полностью позволяла контролировать зубной кариес каждому члену группы.
Химический анализ слюны показал значительное улучшение. В начале теста среднее значение по группе давало крайне низкий уровень безопасности, и мы даже ожидали продолжения активного разрушения зубов. Через шесть недель средний показатель достиг уровня, при котором разрушение зубов должно останавливаться. Фактор безопасности слюны продолжал улучшаться на протяжении пяти месяцев, когда программа была окончена с наступлением лета.
В связи с этим экспериментом произошло несколько любопытных случаев. Два разных учителя пришли ко мне, чтобы узнать, что произошло с конкретным ребенком, который из числа самых слабых по способности к обучению вдруг стал одним из самых сильных. Зубной кариес это только одно из проявлений нашего недостаточного питания.
Я уже говорил о важности масла с высоким содержанием витаминов для обеспечения организма жирорастворимыми активаторами, необходимыми для усвоения минералов. В этой связи любопытно отметить, что именно масло является главным источником этих важнейших активаторов для многих примитивных групп по всему миру.
Жители северной Индии и Тибета во многом зависят от масла, получаемого из молока овцебыков и овец. Масло едят перемешанным с жареными зернами, добавляют в чай и кашу, приготовленную из чая, масла и жареных злаков. В Египте я обнаружил значительные поставки витаминизированного масла, которое привозили из высокогорных районов, в нескольких милях от бассейна Нила. Его выменивали и потребляли вместе с просом, растущим в других районах. Это масло, температуры окружающей среды (30-40 градусов по Цельсию), было всегда в жидком виде.
Прекрасный оранжевый цвет масла свидетельствовал о превосходных пастбищах для молочных животных. Жители Судана, включая арабов, имели прекрасные зубы и крайне низкое число разрушенных зубов (глава 9). Самыми развитыми физически в северной Индии являются патаны, которые питаются преимущественно свернувшимся молоком с пшеницей и овощами. Эти люди очень высоки и не страдают от разрушения зубов.
Вероятно, каждая хозяйка знает, что масло, приготовленное ранним летом, когда коровы пасутся на зеленых лугах, тает особо медленно. Это прежде всего касается масла, у которого есть привкус травы и цвет от желтого до оранжевого. Обычно это масло в содержит в несколько раз больше жирорастворимых активаторов, включая витамины А и Д, по сравнению с маслом, полученным из молока скота, содержащегося в стойле и получающего бедную пищу. В 15 главе я объяснял, почему такое масло неудобно для перевозки и почему производители молочных продуктов так часто кормят скот таким образом, что масло имеет меньшее количество витаминов. Преимущественно такой скот получает сухие корма и зерновые.
Имеется много свидетельств, подтверждающих низкую эффективность такого корма для получения витаминов в молочных продуктах. Во время одной недавней засухи, несколько тысяч коров из долины Миссисипи были перевезены в Огайо, для спасения их жизни. В пути их кормили смесью из семян хлопка и зерновых. Профессор Оскар Эрф из университета Огайо поделился некоторыми деталями:
Я смог наблюдать за скотом, который перевезли на ферму в Огайо осенью 1935 года. Из-за сильнейшей засухи и раскаленного солнца, зелени на пастбищах практически не осталось. Иногда только перекати поле было доступно для питания. Кукуруза тоже вся высохла. В некоторых местах скот жестоко страдал от засухи. У многих были больны глаза.
Многие животные умирали. В некоторых случаях разложения практически не наблюдалось. Осенью выживших коров погрузили на машины и отправили на восток. К вывозу подлежали только крепкие особи, тем не менее, большое количество животных погибло в пути.
Я был в курсе, что урожай травы в предыдущем году был очень скудным. Вследствие этого многие телята родились со слабыми глазами, и они первыми умирали при засухе. Низкая жизнеспособность была вызвана недостатком витамина А или фактора зеленой травы.
Читать дальшеИнтервал:
Закладка: